Perilunate and lunate dislocations: Difference between revisions
No edit summary |
m (Rossdonaldson1 moved page Perilunate and Lunate Dislocations to Perilunate and lunate dislocations) |
(No difference)
| |
Revision as of 03:31, 18 February 2015
Background
- Occur via high-energy FOOSH injury (fall from height, MVC)
- Perilunate Dislocation = Lunate stays in place, capitate is displaced
- Lunate Dislocation = Capitate stays in place, lunate is displaced
- Must rule-out median nerve injury
- Must rule out carpal bone fractures
Clinical Features
- Perilunate dislocation: dorsal swelling with palpable mass
- Lunate dislocation: volar swelling with palpable mass
Diagnosis
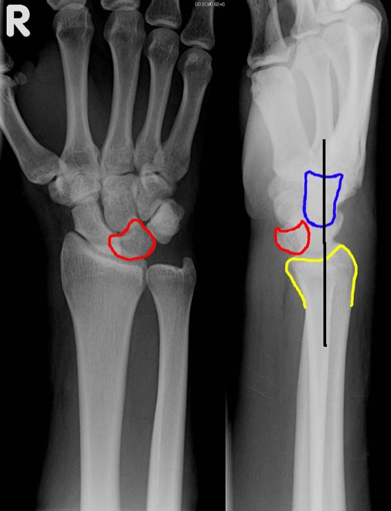
- Perilunate Dislocation
- Lateral view
- Capitate displaced dorsal to lunate
- Lunate retains its normal contact w/ radius
- PA view
- Capitolunate joint space is obliterated as the bones overlap one another
- Lateral view
- Lunate Dislocation
- PA view
- Lunate has triangular shape ("piece-of-pie sign")
- Lateral view
- Lunate is pushed off the radius into the palm ("spilled teacup" sign)
- PA view
DDX
- Fractures of distal radius, carpal bones (esp scaphoid)
- Scapholunate Dissociation
Treatment
- Both dislocations require emergent ortho consultation (very difficult to reduce)
- Closed reduction and long-arm splint
Images
- Perilunate Dislocation
- Lunate Dislocation
Source
- Emergency Orthopedics, The Extremeties
- Radiopaedia.org
- Tintinalli


