Maisonneuve fracture: Difference between revisions
No edit summary |
No edit summary |
||
| Line 9: | Line 9: | ||
==Treatment== | ==Treatment== | ||
*Usually requires surgical intervention | *Usually requires surgical intervention | ||
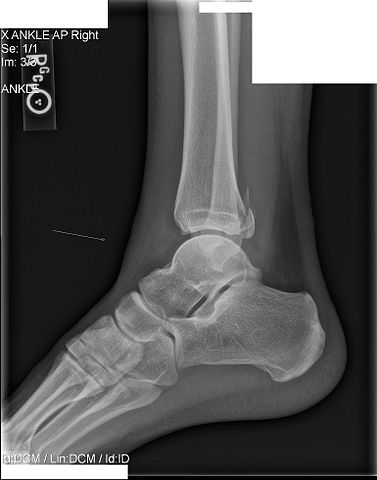
==Image== | |||
[[File:Maisonneuve fracture.jpg]] | |||
==See Also== | ==See Also== | ||
Revision as of 06:29, 27 April 2012
Background
- Results from external rotation force applied to foot
- Leg equivalent of Galeazzi fracture
- 3 components:
- 1. Fibula fracture (anywhere from head or as far down as 6cm above ankle joint)
- 2. Deltoid ligament rupture or medial malleolus fracture
- 3. Injury then directed upward and laterally tearing interosseous membrane
Treatment
- Usually requires surgical intervention
Image
See Also
Source
- Tintinalli

