Volvulus
This page is for adult patients; for pediatric patients see volvulus (peds).
Backgound
- Twisting of loop of bowel causing bowel obstruction and (if severe) ischemia, gangrene, perforation
- Generally affects adults aged 60-70
- Can cause severe thirdspacing, electrolyte abnormality, and abdominal distention
- Common sites include cecum and sigmoid
- Cecal volvulus - mobile segment of cecum causing volvulus and cecal folding
- Sigmoid volvulus - redundant sigmoid attached to narrow mesentery twists on itself causing obstruction and further diation
Risk Factors[1][2]
- Sigmoid volvulus
- More common in elderly as opposed to cecal volvulus
- High fiber diet
- Chronic constipation
- Chagas disease
- Patients of long term care facilities/psychiatric institutions
- Cecal volvulus
- Most between 30-60 years of age
- Prior abdominal surgery
- Pelvic mass, 3rd trimester pregnancy
- Cecal mobility cause by congenital abnormality with cecal mesentery failing to fuse with posterior abdominal wall
- Gastric volvulus
- Most common between 40-50 years of age
- Paraesophageal hernias
Clinical Features
Sigmoid/Cecal volvulus
- Triad: Abdominal pain, distention, constipation
- Vomiting only occurs late as obstruction is rather distal. If so, may be faeculant in nature and indicates long-standing obstruction.
- Vary from subtle to dramatic presentations
- Physical Exam:
- Distended, tympanitic abdomen (mostly upper abdomen and unilateral)
- Severe abdominal tenderness, peritonitis, fever, shock highly suggestive for gangrenous bowel
Gastric volvulus (Borchardt's triad)
- Abdominal and/or chest pain
- Retching, vomiting
- Inability to pass NGT
Differential Diagnosis
Diffuse Abdominal pain
- Abdominal aortic aneurysm
- Acute gastroenteritis
- Aortoenteric fisulta
- Appendicitis (early)
- Bowel obstruction
- Bowel perforation
- Diabetic ketoacidosis
- Gastroparesis
- Hernia
- Hypercalcemia
- Inflammatory bowel disease
- Mesenteric ischemia
- Pancreatitis
- Peritonitis
- Sickle cell crisis
- Spontaneous bacterial peritonitis
- Volvulus
Constipation
- Behavioral-related
- Lack of exercise
- Diet-related
- Fecal impaction
- Ileus from surgical abdomen
- Bowel obstruction
- Small bowel obstruction
- Large bowel obstruction
- Malignant bowel obstruction
- Specific causes: tumor, stricture, hernia, adhesion, volvulus
- Painful anorectal disorders (e.g. anal fissure, hemorrhoids)
- Medical causes
- Hypothyroidism
- Electrolytes
- Hypokalemia
- Medication-related
- Opiods, antipsychotics, anticholinergics, antacid, antihistamines
- Constipation (peds)
Evaluation
Workup
- Lactic acid
- CBC, CMP, UA
- CT
Evaluation
- Sigmoid Volvulus
- Abdominal Series X-rays
- May not be diagnostic
- Grossly distended loop of colon (no haustral markings) either on R/L side.
- Coffee-bean sign
- "Bent inner tube" sign
- Free air on upright chest/lateral decubitus if perforation
- Contrast enema
- Bird's beak sign-contrast fills colon up to point of torsion
- Sigmoidoscopy (both diagnostic and therapeutic)
- CT
- Abdominal Series X-rays
- Cecal Volvulus
- Abdominal Series X-rays
- Not definitive in many cases
- Dilated cecum with air fluid level
- Distended small bowel
- Distal colon with paucity of gas
- "Coffee bean sign"-Large oval gas shadow with line down middle in middle of abdomen
- Free air on upright chest/lateral decubitus if perforation
- Contrast enema
- Helpful to differentiate between sigmoid/cecal volvulus
- Ultrasound
- Not particularly helpful
- CT
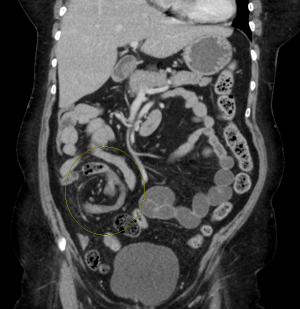
- Mesocolon "whirl sign"- twisted mesentery
- Many only definitively diagnosed at surgery
- Abdominal Series X-rays
- Gastric volvulus
- Upright CXR and abdominal XR
- Intrathoracic, upside-down stomach
- Double air fluid level in stomach
- Collapsed small bowel
- CT
- Gastric herniation around points of torsion
- Ischemia seen a lack of contrast enhancement of gastric wall
- Upright CXR and abdominal XR
Management
- Emergent surgery consult
- Fluid resuscitation
- Analgesia
- Antibiotics if perforation or gangrene suspected
- Sigmoid volvulus may be managed with endoscopic decompression/detorsion (if no signs of gangrenous bowel/perforation)
- Recurrence possible, which would mandate surgical repair
- Cecal volvulus always requires surgical repair with resection (preferred) or cecopexy
- Gastric volvulus
- Endoscopic reduction
- Endoscopy relatively contraindicated in signs of ischemia such as significantly elevated lactate
Disposition
- Admit
See Also
References
- ↑ Weerakkody Y et al. Caecal volvulus. http://radiopaedia.org/articles/caecal-volvulus.
- ↑ Morgan MA et al. Sigmoid volvulus. http://radiopaedia.org/articles/sigmoid-volvulus
