Sandbox
Revision as of 17:14, 27 February 2021 by Rossdonaldson1 (talk | contribs)
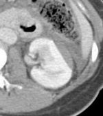
| Grade | Description | Image | CT |
| I |
|
||
| II |
| ||
|
|||
| III |
|
||
| IV |
| ||
|
|||
| V |
|
| Grade | Type | Description |
| I | Contusion | Microscopic or gross hematuria. Urological studies normal. |
| I | Hematoma | Subcapsular, non-expanding without parenchymal laceration. |
| II | Hematoma | Non-expanding peri-renal hematoma confined to renal retroperitoneum. |
| II | Laceration | <1.0 cm parenchymal depth of renal cortex without urinary extravasation. |
| III | Laceration | >1.0 cm parenchymal depth of renal cortex without collecting system rupture or urinary extravasation. |
| IV | Laceration | Parenchymal laceration extending through renal cortex, medulla, and collecting system. |
| IV | Vascular | Main renal artery or vein injury with contained hemorrhage. |
| V | Laceration | Completely shattered kidney. |
| V | Vascular | Avulsion of renal hilum that devascularises kidney. |
Burn Thickness Chart[1]
| Thickness | Deepest Skin Structure Involved | Pain & Sensation | Appearance | Expected Course | Image |
|---|---|---|---|---|---|
| Superficial (first-degree) |
|
|
|
|
|
| Superficial Partial (second-degree) |
|
|
|
|
|
| Deep Partial (second-degree) |
|
|
|
|
|
| Full (third-degree) |
|
|
|
|
|
| Fourth-degree |
|
|
|
|
- ↑ Haines E, et al. Optimizing emergency management to reduce morbidity and mortality in pediatric burn patients. Pediatric Emergency Medicine Practice. 12(5):1-23. EB Medicine.


