Formal echocardiography
Diagnostic Pearls
- Normal directional flow in CW and PW in apical, parasternal short:
- Below the line for pulmonic and aortic valves (systole)
- Above the line in tricuspid and mitral valves (diastole)
- Parasternal long
- Assess for mitral valve prolapse, systolic anterior motion
- Differentiate pleural effusion from pericardial effusion
- Pericardial effusion is anterior to descending aorta
- Pleural effusion posterior to descending aorta
Pericardial effusion vs. pleural effusion
- Parasternal short
- Apical
- Best obtained in left lateral decubitus with L arm above head to open up ribs
- LVEF by Simpson, LV volume change
- LVEF by Teichholz method, using M-mode (estimation of LV volume by diameter measured just beyond mitral tips in diastole)
- EF visual assessment:
- >65% = hyperdynamic
- 55-65% = normal
- 45-54% = mildly depressed
- 30-44% = moderately depressed
- <30% = severely depressed
- Two chamber view
- Three chamber view
- Subxiphoid view
- Suprasternal view
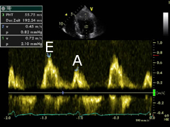
E/A Ratio
- Measure of diastolic dysfunction
- PW doppler across MV in apical view
- The following rules will apply to most pts[1]https://www.youtube.com/watch?v=qdLkbcFe_DI
- Rule 1: Normal diastolic function if echo normal, age<45 yrs, E>A
- Rule 2: Impaired relaxation if A>E, with E/A<1
- Rule 3: Pseudonormal if echo abnormal (LVH), age>65, E>A, E/A>1
- Rule 4: Restrictive filling if E/A>2
External Links
References
- ↑ 123sonography. Nov 20, 2010. https://www.youtube.com/watch?v=qdLkbcFe_DI.

