File:Free fluid at the liver tip.gif
Revision as of 12:57, 18 July 2016 by Neil.m.young (talk | contribs) (Positive fast with free fluid located at the liver tip)
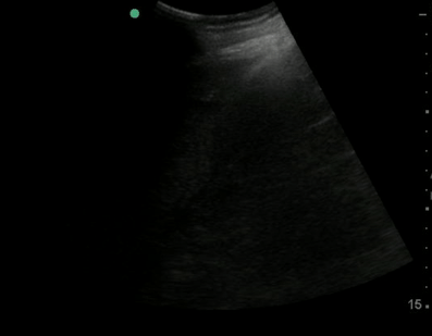
Free_fluid_at_the_liver_tip.gif (397 × 309 pixels, file size: 1.49 MB, MIME type: image/gif, looped, 45 frames, 4.0 s)
Positive fast with free fluid located at the liver tip
File history
Click on a date/time to view the file as it appeared at that time.
| Date/Time | Thumbnail | Dimensions | User | Comment | |
|---|---|---|---|---|---|
| current | 12:57, 18 July 2016 | 397 × 309 (1.49 MB) | Neil.m.young (talk | contribs) | Positive fast with free fluid located at the liver tip |
You cannot overwrite this file.
File usage
The following 2 pages use this file:

