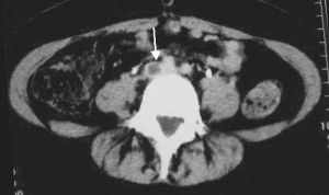
Deep venous thrombosis
Background
Clinical Spectrum of Venous thromboembolism (VTE)
- Deep venous thrombosis (uncomplicated)
- Phlegmasia alba dolens
- Phlegmasia cerulea dolens
- Venous gangrene
- Pulmonary embolism
- Isolated distal deep venous thrombosis
Only 40% of ambulatory ED patients with PE have concomitant DVT[1][2]
Leg Vein Anatomy
Significant risk of PE:
- Common femoral vein
- (Superficial) femoral vein
- (Superficial) femoral vein is part of the deep system, not the superficial system as the name suggests!
- Popliteal veins
Clinical Features
- Leg swelling with circumference >3cm more than unaffected side
- Tenderness over calf muscle
- Homan's sign - pain during dorsiflexion of foot (SN 60-96% and SP 20-72%)[3]
Differential Diagnosis
- Arterial thrombosis
- Arteritis
- Arthritis
- Buerger disease
- Cellulitis
- Compartment syndrome
- Complex regional pain syndrome
- Fracture
- Gout
- Lymphangitis
- Myositis
- Necrotizing fasciitis
- Nerve entrapment
- Neuropathy
- Osteomyelitis
- Paget-Schroetter syndrome
- Sciatica
- Septic Joint
- Tendonitis
Calf pain
- Achilles tendon rupture
- Calcaneal bursitis
- Cellulitis
- Compartment syndrome
- Deep venous thrombosis (DVT)
- Distal leg fractures
- Gastrocnemius strain
- Ruptured popliteal cyst (Bakers cyst)
- Superficial thrombophlebitis
Unilateral leg swelling
- Gravitational
- Venous stasis
- Thrombophlebitis
- Lymphedema
- Medications
- Deep venous thrombosis (uncomplicated)
- Leg or foot infection
- Fracture
- Compartment syndrome
- Limb hypertrophy
- Hypertrophy of soft tissue or bone (Klippel-Trenaunay syndrome)
- Overgrowth of body part (Proteus Syndrome)
- Lipedema
- Tumor
- Post-thrombotic Syndrome
- Causes of bilateral pedal edema
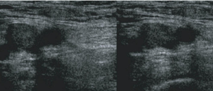
Evaluation
Lower Extremity
- Clinical exam
- Risk stratification for further testing indicated using (e.g., see Modified Wells Score below)
- Consider D-dimer
- Consider DVT ultrasound
Modified Wells Score
Can be applied for patients whose clinical presentation is concerning for a DVT in order to risk stratify.
- Active cancer (<6 mo) (1pt)
- Paralysis, paresis, or immobility of extremity (1pt)
- Bedridden >3 days because of symptoms within 4 weeks (1pt)
- TTP along deep venous system (1pt)
- Entire leg swollen (1pt)
- Unilateral calf swelling >3cm below tibial tuberosity (1pt)
- Unilateral pitting edema (1pt)
- Collateral superficial veins, not varicose (1pt)
- Previously documented DVT (1pt)
- Alternative diagnosis as likely or more likely than DVT (-2pts)
- A score of 0 or lower → minimal risk - DVT prevalence of 5%. D-dimer testing is safe in this group - negative d-dimer decreases the probability of disease to <1% allowing an ultrasound to be deferred.
- A score of 1-2 → moderate risk - DVT prevalence of 17%. D-dimer testing still effective and a negative test decreases post-test probability disease to <1%
- A score of 3 or higher → high risk - DVT prevalence of 17-53% → patients should receive an ultrasound[4]
Upper Extremity
Requires ultrasound for diagnosis. Cannot be ruled out with d-dimer.[5]
- Generally involves axillary or subclavian veins
- Primary upper extremity DVT typically presents in young healthy individuals
- Secondary upper extremity DVT often due to indwelling catheters
- Obtain a chest x-ray to rule out bony abnormalities that may be causing venous obstruction
Management
The distinction between distal and proximal relates to veins below and above the knee respectively.[6] Patients with superficial venous thromboses such as the long saphenous and short saphenous are at risk of developing a DVT, especially in patients who have a history of prior DVT although management with anticoagulation is controversial.[7]
Proximal DVT
Proximal veins are the external iliac, common femoral, greater saphenous, profound (deep) femoral, (superficial) femoral vein, popliteal vein
- If NO phlegmasia cerulea dolens:
- Anticoagulate with apixaban, rivaroxaban, or heparin/coumadin x 3 months
- If phlegmasia cerulea dolens:
- Consider thrombolytics +/- thrombectomy
- Anticoagulate with apixaban, rivaroxaban, or heparin/coumadin x 3 months
- If anticoagulation contraindicated:
Mechanical Thrombectomy
Consider pharmaco-mechanical (IR) management of proximal DVTs with the following charateristics:
- Objectively diagnosed (i.e., CT or US)
- Acute (≤14 days)
- Symptomatic (at least one):
- rVCSS Pain Score ≥2
- New edema of calf or thigh (CEAP ≥3)
- Limited mobility or bed bound due to pain / swelling
- Impairment of the tissue perfusion (phlegmasia)
Distal DVT
Distal veins are the anterior tibial, posterior tibial, peroneal, gastrocnemius, soleus.
- Symptomatic
- Anticoagulate with apixaban, rivaroxaban, or heparin/coumadin x 3 months
- Asymptomatic with extension of thrombus toward proximal veins
- Anticoagulate with apixaban, rivaroxaban, or heparin/coumadin x 3 months
- Asymptomatic without extension
- Discharge with compressive U/S q2 weeks
- 2020 review from JAMA[8] recommend treat calf DVT if "severe symptoms or risk factors for pulmonary embolism or extension to proximal veins (such as hospitalization, history of VTE, and cancer)."
VTE in Pregnancy[9]
- Therapeutic LMWH or unfractionated heparin anticoagulation dose in:
- Antepartum outpatient with multiple prior VTEs or any VTE with high-risk thrombophilia until 6 weeks postpartum
- Postpartum inpatient with prior unprovoked, estrogen-provoked VTE, or low-risk thrombophilia for duration of admission
- Lower prophylactic anticoagulation dose in:
- Antepartum outpatient with prior unprovoked, estrogen-provoked VTE, or low-risk thrombophilia until6 weeks postpartum
- Patients admitted > 72 hrs, not at high risk for bleeding or imminent delivery
- Resume 12 hours after C-section and removal of epidural / spinal needle in indicated patients
- Halt anticoagulation if imminent delivery, C-section, epidural / spinal needle
Recurrent DVT on Therapeutic Anticoagulation
- Admit patients for vascular surgery and hematologist consult
- Consider Greenfield IVC filter placement
- Typically start heparin for additional anticoagulation
Upper extremity DVT
- If secondary to catheter, do not necessarily have to remove [10]
- Anticoagulation as per lower extremity DVTs.
- Consider admission for catheter directed thrombolysis or mechanical thrombectomy, especially with any of the following characteristics[11]
- Severe symptoms
- Thrombus extending from subclavian to axillary vein
- Other features that suggest success for thrombolysis and decrease risk:
- Symptoms <14 days
- Life expectancy >1 yr
- Low risk for bleeding
Anticoagulation Options
| Medication | Warfarin (Coumadin) | Rivaroxaban (Xarelto) | Apixaban (Eliquis) | Dabigatran (Pradaxa) |
| Standard Dosing |
|
|
|
|
| Renal Dosing |
|
|
|
|
Contraindications to anticoagulation
- Active hemorrhage
- Platelets <50
- History of intracerebral hemorrhage
Disposition
Discharge
Consider if all of the following are present:
- Ambulatory
- Hemodynamically stable
- Low risk of bleeding in patient
- Absence of renal failure
- Able to administer anticoagulation with appropriate monitoring
- Able to arrange for 2-3 day follow-up
Admit
For any of the following:
- Ileofemoral DVT that is a candidate for thrombectomy (should have the following):[13]
- Acute iliofemoral DVT (symptom duration <21 days)
- Low risk of bleeding
- Good functional status and reasonable life expectancy
- Phlegmasia cerulea dolens
- High risk of bleeding on anticoagulation
- Significant comorbidities
- Symptoms of concurrent PE
- Recent (within 2 weeks) stroke or transient ischemic attack
- Severe renal dysfunction (GFR < 30)
- History of heparin sensitivity or Heparin-Induced Thrombocytopenia
- Weight > 150kg
- Upper extremity DVT, if indicated for thrombolysis vs outpatient for anticoagulation alone if low risk
See Also
Calculators
Wells Score for DVT
| Criteria | No | Yes | Points |
|---|---|---|---|
| Active cancer (treatment within 6 months or palliative) | 1 | +1 | |
| Bedridden recently >3 days or major surgery within 12 weeks | 1 | +1 | |
| Calf swelling >3 cm compared to other leg (measured 10 cm below tibial tuberosity) | 1 | +1 | |
| Collateral superficial veins (non-varicose) | 1 | +1 | |
| Entire leg swollen | 1 | +1 | |
| Localized tenderness along deep venous system | 1 | +1 | |
| Pitting edema confined to symptomatic leg | 1 | +1 | |
| Paralysis, paresis, or recent cast immobilization of lower extremities | 1 | +1 | |
| Previously documented DVT | 1 | +1 | |
| Alternative diagnosis at least as likely as DVT | 1 | −2 | |
| Wells' Score | points | ||
| Interpretation (Traditional) | |
|---|---|
| ≤0 | Low Risk — 5% prevalence of DVT. Consider D-dimer to rule out. |
| 1–2 | Moderate Risk — 17% prevalence of DVT. Consider D-dimer or ultrasound. |
| ≥3 | High Risk — 53% prevalence of DVT. Ultrasound recommended. |
| Interpretation (Dichotomized) | |
| ≤1 | DVT Unlikely — D-dimer to rule out. |
| ≥2 | DVT Likely — Ultrasound recommended. |
| References |
|---|
|
External Links
- MDCalc - Wells' Criteria for DVT
- REBEL EM - Should I Stay or Should I Go: Outpatient Treatment of Venous Thromboembolism
- CORE EM - Deep Venous Thrombosis (DVT)
References
- ↑ Righini M, Le GG, Aujesky D, et al. Diagnosis of pulmonary embolism by multidetector CT alone or combined with venous ultrasonography of the leg: a randomised non-inferiority trial. Lancet. 2008; 371(9621):1343-1352.
- ↑ Daniel KR, Jackson RE, Kline JA. Utility of the lower extremity venous ultrasound in the diagnosis and exclusion of pulmonary embolism in outpatients. Ann Emerg Med. 2000; 35(6):547-554.
- ↑ Anand SS, et al. Does this patient have deep vein thrombosis? JAMA. 1998; 279(14):1094-9.
- ↑ Del Rios M et al. Focus on: Emergency Ultrasound For Deep Vein Thrombosis. ACEP News. March 2009. https://www.acep.org/clinical---practice-management/focus-on--emergency-ultrasound-for-deep-vein-thrombosis/
- ↑ Kucher N. Clinical practice Deep-vein thrombosis of the upper extremities. N Engl J Med. 2011;364:861–869.
- ↑ Gualtiero P. How I treat isolated distal deep vein thrombosis (IDDVT). Blood 2014 123:1802-1809; doi: https://doi.org/10.1182/blood-2013-10-512616
- ↑ Litzendorf ME. Satiani B. Superficial Venous thrombosis:disease progression and evolving treatment approaches. Vasc Health Risk Manag. 2011(7). 569-575
- ↑ Diagnosis and Treatment of Lower Extremity Venous Thromboembolism: A Review. JAMA. 2020 Nov 3;324(17):1765-1776. doi: https://doi.org/10.1001/jama.2020.17272
- ↑ DʼAlton ME et al. National Partnership for Maternal Safety: Consensus bundle on venous thromboembolism. Obstet Gynecol 2016 Oct; 128:688.
- ↑ Kovacs MJ et al. A pilot study of central venous catheter survival in cancer patients using low-molecular-weight heparin (dalteparin) and warfarin without catheter removal for the treatment of upper extremity deep vein thrombosis (the catheter study) JTH. 2007;5:1650–1653.
- ↑ Kearon C, Akl EA, Ornelas J, et al. Antithrombotic therapy for VTE disease: CHEST guideline and expert panel report. Chest 2016;149:315-52.
- ↑ https://pubmed.ncbi.nlm.nih.gov/19966341/
- ↑ https://www.ncbi.nlm.nih.gov/pmc/articles/PMC4646749/
