Peptic ulcer disease: Difference between revisions

No edit summary
Line 26: Line 26:


==Evaluation==
==Evaluation==
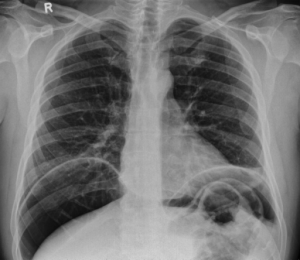
[[File:PMC3813507 rjt07101.png|thumb|Free air under diaphragm (a complication of perforated ulcer).]]
[[File:PMC3835032 1752-1947-7-257-2.png|thumb|Perforated duodenal ulcer presenting with a subphrenic abscess: (A) air-fluid collection (asterisk) with stranding (arrow). (B) air-fluid collection (asterisk) extends to the perihepatic space with extraluminal air bubbles (arrow).]]
[[File:PMC3835032 1752-1947-7-257-2.png|thumb|Perforated duodenal ulcer presenting with a subphrenic abscess: (A) air-fluid collection (asterisk) with stranding (arrow). (B) air-fluid collection (asterisk) extends to the perihepatic space with extraluminal air bubbles (arrow).]]
===Work-Up===
===Work-Up===

Revision as of 18:48, 28 November 2019

Background

A benign gastric ulcer (from the antrum of a gastrectomy specimen).
  • Recurrent ulcerations in the stomach and proximal duodenum
    • Defect in the gastric or duodenal wall that extends through the muscularis mucosa into the deeper layers of the wall[1]
  • Majority of cases related to H. pylori or NSAID use
    • H. pylori found in 30-40% of U.S. population
    • NSAIDs inhibit prostaglandin synthesis (decreases mucus and bicarb production)
  • Perforation most commonly occurs in anterior wall of duodenum.

Clinical Features

Non-Perforated

  • Burning epigastric pain
    • May awaken patient at night (gastric contents empty)
  • Abrupt onset of severe pain may indicate perforation
  • Abrupt onset of back pain may indicate penetration into the pancreas
  • The following symptoms are NOT associated with PUD:
    • Postprandial pain, food intolerance, nausea, retrosternal pain, belching

Perforated

  • Abrupt onset of severe epigastric pain
  • Patients may not have history of ulcer-like symptoms

Differential Diagnosis

Epigastric Pain

Upper gastrointestinal bleeding

Mimics of GI Bleeding

Evaluation

Free air under diaphragm (a complication of perforated ulcer).
Perforated duodenal ulcer presenting with a subphrenic abscess: (A) air-fluid collection (asterisk) with stranding (arrow). (B) air-fluid collection (asterisk) extends to the perihepatic space with extraluminal air bubbles (arrow).

Work-Up

  • CBC (rule out anemia)
  • LFTs
  • Lipase
  • Consider acute abdominal series if concern for perforation (>50 years old; concerning abdominal exam)
  • Consider RUQ US
  • Consider ECG
  • Consider troponin

Evaluation

Acute duodenal acute duodenal mucosal ulcer on endoscopy
  • Diagnosis not typically definitively made in ED (requires endoscopy or H. pylori test)
  • Depending on clinical certainty can consider initial empiric treatment

Management

Perforated

Surgical emergency

Non-Perforated

Disposition

  • Normally outpatient management, unless complication (see below)

Red Flags

Any of the following suggest need for endoscopy referral:

Complications

See Also

References

  1. Vakil N. Peptic ulcer disease: Management. UpToDate. https://www.uptodate.com/contents/peptic-ulcer-disease-management?search=ulcer treatment&source=search_result&selectedTitle=1~150&usage_type=default&display_rank=1#H1. Published September 16, 2019. Accessed November 5, 2019.